Ένας 17χρονος από τις ΗΠΑ, υπεβλήθη στην πρώτη παγκοσμίως χειρουργική επέμβαση σμίκρυνσης πέους.
Ο νεαρός, του οποίου τα στοιχεία δεν δόθηκαν στη δημοσιότητα, απευθύνθηκε στους γιατρούς μιας και ήταν τόσο μεγάλο που τον δυσκόλευε να κάνει απλά πράγματα, όπως κάποιο άθλημα ή σεξ!
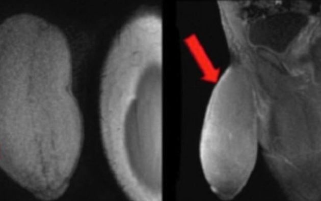
Πριν την χειρουργική επέμβαση οι γιατροί είπαν, σύμφωνα με την MailOnline, ότι το πέος του είχε το μέγεθος μίας μπάλας του ράγκμπι ή ενός γκρέιπφρουτ και ότι ήταν η πρώτη φορά που κάποιος ζητούσε να μικρύνει το πέος του.
Ο 17χρονος, παραπονιόταν συνεχώς μιας και δεν μπορούσε να κάνει όσα έκαναν οι συνομήλικοι του, ενώ με το παραμικρό πονούσε.
Μάλιστα, όπως λέει το πέος του ήταν τόσο μεγάλο που δεν άλλαζε κάτι όταν είχε στύση ενώ είχε φρικτούς πόνους.
Σύμφωνα με τους γιατρούς η εγχείρηση ολοκληρώθηκε επιτυχώς.

